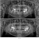
우리탑 전문 케이스
임플란트 치료, 결과로 보여드립니다.
우리탑치과의 임플란트 수술 전후 변화를 확인해 보세요.
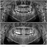
우리탑 전문 케이스
임플란트 치료, 결과로 보여드립니다.
우리탑치과의 임플란트 수술 전후 변화를 확인해 보세요.
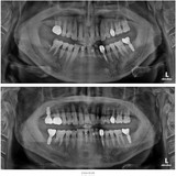
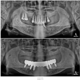
우리탑 전문 케이스
임플란트 치료, 결과로 보여드립니다.
우리탑치과의 임플란트 수술 전후
변화를 확인해 보세요.
문의전화
051.313.2804
우리탑치과와 지금 바로 상담해 보세요.
예약하기
부산시 사상구 가야대로 290 4층 우리탑치과의원
대표 김성호 ㅣ 사업자번호 815-10-01486
Copyright ⓒWooriTop Dental Clinic. All Rights Reserved.
우리탑치과의원
부산시 사상구 가야대로 290 4층 우리탑치과의원
대표 김성호 ㅣ 사업자번호 815-10-01486
Copyright ⓒWooriTop Dental Clinic. All Rights Reserved.