
"정직한 마음으로 바르게 진료하겠습니다."
안녕하세요! 15년차 치주과전문의 김성호 원장입니다.
1. 15년 경력 치주과 전문의 2. 누적 임플란트 수 6500건 이상 |
저는 치주과 전문의로서 지난 15년 동안 치과 엑스레이 안전성과 관련된
수많은 환자분들의 질문에 답하고 진단과 치료를 도와드려왔는데요.
선생님, 치아 엑스레이 자주 찍으면 암 생긴다는 얘기도 있던데요?
CT 찍는 건 좀 무서워요… 방사선 많이 나오는 거 아니에요?
임플란트 상담받으러 왔는데, 꼭 엑스레이 찍어야 하나요?
실제로 개금치과에 방문하시는 분들 중엔 엑스레이 촬영에 대해 은근히 걱정이 많으신 경우가 많습니다.
요즘은 후쿠시마 원전 사고나 체르노빌 다큐멘터리 등으로 방사선에 대한 대중적 공포가 커진 것도 무시할 수 없죠.

아마 이 글을 읽고 계신 분이라면, 치과 엑스레이 안전성에 대한 정확하고 실제적인 정보를 찾고 계실 텐데요.
이 포스팅은 단순한 병원 홍보가 아닌, 진짜 도움이 되는
과학적 근거와 실제 수치로 방사선 노출에 대한 걱정을 덜어드리는 것을 목표로 합니다.
딱 3분만 투자해서 읽어보세요. 방사선에 대한 오해를 풀고, 앞으로 치과 진료를 더 편하게 받으실 수 있을 거예요!

치과는 특성상 단단한 치아 속 내부 구조를 보기 위해 엑스레이 촬영이 필수적인 진료 도구입니다.
껍질이 단단한 갑각류처럼 보이는 치아는 외형만 보고는 충치, 신경 염증, 뿌리 문제 등을 알 수 없습니다.
그래서 우리는 디지털 엑스레이, 파노라마, CT 등의 다양한 영상 장비를 사용하게 됩니다.
문제는 ‘방사선’이라는 단어에 대한 불안감이죠.
엑스레이는 인체에 방사선을 소량 쏘여 내부 조직을 촬영하는 기술입니다.
여기서 중요한 기준은 “얼마나 많은 양의 방사선을 흡수하느냐”입니다.
그 양을 마이크로시버트(μSv)라는 단위로 측정합니다.

구체적인 수치를 한번 살펴볼까요?
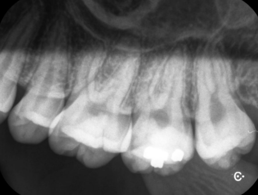
개별 치아를 촬영하는 "디지털 표준촬영" 방사선 사진이며 3 μSv 입니다.
치과에 처음 내원하시면 찍는 일명 큰사진으로 불리는 "파노라마 촬영"이며 10 μSv 입니다.
표준촬영 3장과 파노라마 촬영 1장은 거의 맞먹는 방사선량을 보입니다.

사랑니가 깊게 매복되었거나, 임플란트 수술이 계획된 환자에서 촬영하는
"치과용 CT" 입니다. 30 μSv 정도 방사선이 인체에 흡수됩니다.
파노라마 3장 촬영하는 수준입니다.
정리를 해보면 위 표와 같은데요, 이 수치가 얼마나 낮은지 비교해볼게요.

일반 검진에서 루틴하게 찍는 흉부 엑스레이가 약 100 μSv입니다.
즉, 치과용 CT는 흉부 엑스레이의 1/3 수준밖에 되지 않습니다.
게다가 병원에서 찍는 복부 CT는 무려 10,000 μSv 이상, 치과용 CT보다 300배 이상 방사선량이 높습니다.
📢“탑승객 여러분께 알려드립니다.
유럽행 항공편에 탑승하신 여러분은 약 70 μSv의 우주 방사선에 노출될 예정입니다.”
혹시 비행기 타기 전, 이런 멘트를 들어보신 적 있나요? 이건 농담 같지만 실제 수치입니다.
유럽행 비행기 한 번 타는 것만으로도 치과 파노라마 사진 7장 정도의 방사선을 맞습니다.
심지어 유럽 왕복 비행처럼 장거리 이동이라면 훨씬 더 많은 방사선에 노출될 수 있죠.
그럼에도 우리는 별 걱정 없이 비행기를 탑니다. 그 이유는 무엇일까요? 바로 ‘양보다 목적’이 더 중요하기 때문입니다.

치과 엑스레이도 마찬가지입니다.
정확한 진단과 치료를 위해 꼭 필요한 경우, 그 촬영은 전혀 부담스럽지 않습니다.
현재 국제 방사선 방호 위원회(ICRP)에서 제시하는 일반인 연간 방사선 허용량은 1000 μSv, 방사선 종사자 허용치는 50,000 μSv입니다.
이 기준에 비추어 보면 치과에서의 영상 진단은 그야말로 “새 발의 피” 수준이라는 점, 확실히 이해되셨을 겁니다.

물론 치과 엑스레이는 무조건 “무해하다”고 말할 수는 없습니다.
하지만 그 위험성이 실질적으로 거의 없다는 점은 여러 국제 기구와 수십 년 간의 연구 결과를 통해 밝혀져 있습니다.

특히 디지털 엑스레이는 과거 필름 기반보다 훨씬 방사선량이 적고, 필요한 부위에만 정밀하게 조사됩니다.
촬영 횟수도 진료 지침에 따라 꼭 필요한 경우에만 진행되기 때문에 무분별한 노출 걱정은 하지 않으셔도 됩니다.

또한 꼼꼼한 병의원에서는 방사선 차폐 장비를 제공하고, 태아나 임산부에게는 더욱 엄격한 기준을 적용합니다.
요약하자면,

오늘은 이렇게 "개금치과 엑스레이, CT 괜찮을까? 방사선 안전성 완전 정리 BEST 3"에 대해서 알아보았습니다.
이상 15년차 치주과전문의 김성호 원장이었습니다.
감사합니다.
"정직한 마음으로 바르게 진료하겠습니다."
안녕하세요! 15년차 치주과전문의 김성호 원장입니다.
1. 15년 경력 치주과 전문의
2. 누적 임플란트 수 6500건 이상
저는 치주과 전문의로서 지난 15년 동안 치과 엑스레이 안전성과 관련된
수많은 환자분들의 질문에 답하고 진단과 치료를 도와드려왔는데요.
실제로 개금치과에 방문하시는 분들 중엔 엑스레이 촬영에 대해 은근히 걱정이 많으신 경우가 많습니다.
요즘은 후쿠시마 원전 사고나 체르노빌 다큐멘터리 등으로 방사선에 대한 대중적 공포가 커진 것도 무시할 수 없죠.
아마 이 글을 읽고 계신 분이라면, 치과 엑스레이 안전성에 대한 정확하고 실제적인 정보를 찾고 계실 텐데요.
이 포스팅은 단순한 병원 홍보가 아닌, 진짜 도움이 되는
과학적 근거와 실제 수치로 방사선 노출에 대한 걱정을 덜어드리는 것을 목표로 합니다.
딱 3분만 투자해서 읽어보세요. 방사선에 대한 오해를 풀고, 앞으로 치과 진료를 더 편하게 받으실 수 있을 거예요!
치과는 특성상 단단한 치아 속 내부 구조를 보기 위해 엑스레이 촬영이 필수적인 진료 도구입니다.
껍질이 단단한 갑각류처럼 보이는 치아는 외형만 보고는 충치, 신경 염증, 뿌리 문제 등을 알 수 없습니다.
그래서 우리는 디지털 엑스레이, 파노라마, CT 등의 다양한 영상 장비를 사용하게 됩니다.
문제는 ‘방사선’이라는 단어에 대한 불안감이죠.
엑스레이는 인체에 방사선을 소량 쏘여 내부 조직을 촬영하는 기술입니다.
여기서 중요한 기준은 “얼마나 많은 양의 방사선을 흡수하느냐”입니다.
그 양을 마이크로시버트(μSv)라는 단위로 측정합니다.
구체적인 수치를 한번 살펴볼까요?
개별 치아를 촬영하는 "디지털 표준촬영" 방사선 사진이며 3 μSv 입니다.
치과에 처음 내원하시면 찍는 일명 큰사진으로 불리는 "파노라마 촬영"이며 10 μSv 입니다.
표준촬영 3장과 파노라마 촬영 1장은 거의 맞먹는 방사선량을 보입니다.
사랑니가 깊게 매복되었거나, 임플란트 수술이 계획된 환자에서 촬영하는
"치과용 CT" 입니다. 30 μSv 정도 방사선이 인체에 흡수됩니다.
파노라마 3장 촬영하는 수준입니다.
정리를 해보면 위 표와 같은데요, 이 수치가 얼마나 낮은지 비교해볼게요.
게다가 병원에서 찍는 복부 CT는 무려 10,000 μSv 이상, 치과용 CT보다 300배 이상 방사선량이 높습니다.
📢“탑승객 여러분께 알려드립니다.
유럽행 항공편에 탑승하신 여러분은 약 70 μSv의 우주 방사선에 노출될 예정입니다.”
혹시 비행기 타기 전, 이런 멘트를 들어보신 적 있나요? 이건 농담 같지만 실제 수치입니다.
유럽행 비행기 한 번 타는 것만으로도 치과 파노라마 사진 7장 정도의 방사선을 맞습니다.
심지어 유럽 왕복 비행처럼 장거리 이동이라면 훨씬 더 많은 방사선에 노출될 수 있죠.
그럼에도 우리는 별 걱정 없이 비행기를 탑니다. 그 이유는 무엇일까요? 바로 ‘양보다 목적’이 더 중요하기 때문입니다.
치과 엑스레이도 마찬가지입니다.
정확한 진단과 치료를 위해 꼭 필요한 경우, 그 촬영은 전혀 부담스럽지 않습니다.
현재 국제 방사선 방호 위원회(ICRP)에서 제시하는 일반인 연간 방사선 허용량은 1000 μSv, 방사선 종사자 허용치는 50,000 μSv입니다.
이 기준에 비추어 보면 치과에서의 영상 진단은 그야말로 “새 발의 피” 수준이라는 점, 확실히 이해되셨을 겁니다.
물론 치과 엑스레이는 무조건 “무해하다”고 말할 수는 없습니다.
하지만 그 위험성이 실질적으로 거의 없다는 점은 여러 국제 기구와 수십 년 간의 연구 결과를 통해 밝혀져 있습니다.
특히 디지털 엑스레이는 과거 필름 기반보다 훨씬 방사선량이 적고, 필요한 부위에만 정밀하게 조사됩니다.
촬영 횟수도 진료 지침에 따라 꼭 필요한 경우에만 진행되기 때문에 무분별한 노출 걱정은 하지 않으셔도 됩니다.
또한 꼼꼼한 병의원에서는 방사선 차폐 장비를 제공하고, 태아나 임산부에게는 더욱 엄격한 기준을 적용합니다.
요약하자면,
치과 엑스레이는 필수 진단 수단이다.
실제 방사선 노출량은 일상생활보다도 낮은 수준이다.
합리적인 진료 계획 하에 촬영하는 경우 인체에 해롭지 않다.
오늘은 이렇게 "개금치과 엑스레이, CT 괜찮을까? 방사선 안전성 완전 정리 BEST 3"에 대해서 알아보았습니다.
이상 15년차 치주과전문의 김성호 원장이었습니다.
감사합니다.